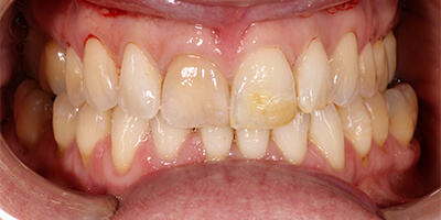
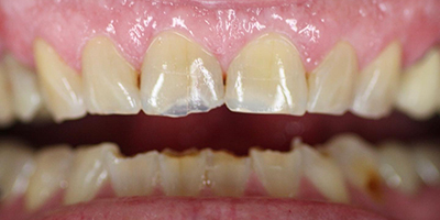
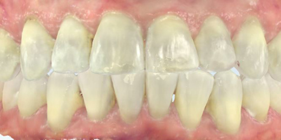
See Some Stunning Looks in Our Algoma Smile Gallery
When you visit Algoma Family Dentistry, we’ll not only improve your smile, we’ll help you gain a brand new sense of self. When you feel confident about your appearance, it seems like anything is possible.
We invite you to view our Algoma smile gallery and see the transformations we’ve performed over the years. Our dentists and team members are dedicated to giving you the same excellent dentistry we’ve given every one of our patients.
Call 920-487-2733 today to schedule your appointment. It’s time to feel happy about smiling again! You can also make an appointment here..




































